Медики показали, что происходит с глазом после попадания туда фейерверка

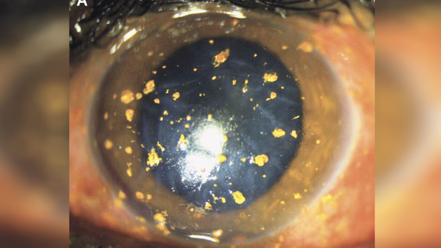
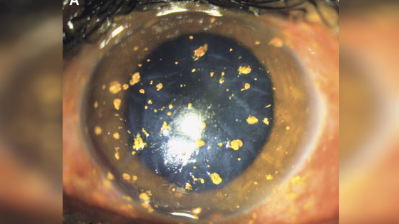
Житель Индии пострадал от тяжелых травм глаз после запуска фейерверка, отлетевший фрагмент которого попал к нему в глаз. Специалисты из Института последипломного медицинского образования в Индии следили за состоянием мужчины и изложили выводы в The New England Journal of Medicine. Мужчина 44-лет отправился в отделение неотложной помощи в сентябре 2015 года после того, как фрагменты фейерверка попали к нему в глаза. Выяснилось, что правый глаз человека не реагирует на свет, а зрение левого глаза размытое. Глаза пациента были заполнены мельчайшими фрагментами фейерверка. После нескольких сеансов врачи смогли удалить фрагменты из левого глаза человека. «Трудно было удалить многие инородные тела, лежащие в глубоких слоях роговицы», – отметил медик Джагат Рам. После удаления фрагментов врачи лечили мужчину антибиотиками и увлажняющими глазными каплями. Спустя три месяца зрение в левом глазу улучшилось. Однако повреждение правого глаза оказалось более серьезным, потому что фрагменты фейерверка смогли проколоть глазное яблоко. Орган можно восстановить, если пациента начали лечить сразу после травмы. Но у мужчины глазное яблоко было сильно повреждено. Врачи не смогли восстановить правый глаз человека, что привело к атрофии глазного яблока. Это означает, что глазное яблоко сжалось и больше не функционирует, глаз ослеп. Врачи отметил, что раньше имели дело с несколькими подобными случаями, когда посторонние предметы проникали в глазное яблоко. Медики добавили, что подходящие очки смогли бы защитить зрение людей, устанавливающих фейерверки.

Медики показали, что происходит с глазом после попадания туда фейерверка
© Индикатор