Учёные: найденная на Тайване челюсть древнего человека принадлежит денисовцу

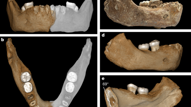
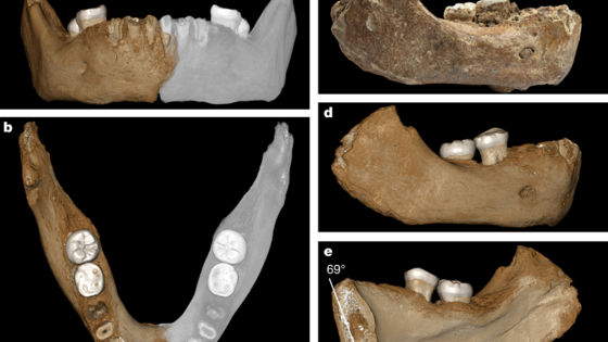
Учёные подтвердили, что одна из костей, найденных у острова Пэнху в Тайваньском проливе, принадлежит денисовцу. Об этом группа исследователей-палеоантропологов сообщила в журнале Science. Денисовцы — род гоминид, которые жили в плейстоцене, впервые идентифицированный по геному и известен лишь по нескольким окаменелостям.

Учёные: найденная на Тайване челюсть древнего человека принадлежит денисовцу
© Ferra.ru

Возраст костей, обнаруженных рыбаками, предположительно составляет около 450 000 лет. Находка была примечательна наличием челюстной кости человекообразного существа. Изначально из кости не удалось извлечь ДНК, но при повторном исследовании учёные смогли выделить 51 белок и сравнить их с известными протеомами денисовцев.

Оказалось, что протеом кости образца Пэнху 1 схож с протеомами других ископаемых денисовцев, а также ископаемых носорогов и гигантопитеков. Кроме того, пять из пяти белковых участков в образце Пэнху 1 были специфичны для денисовцев.

Как сообщается, эти результаты дают дополнительное представление о существовании денисовцев в регионе в разные периоды времени.